03-3721-8511

〒145-0071
東京都大田区田園調布2-62-5
東急スクエアガーデンサイト南館3F

大田区 田園調布 田園調布ヴェルデ矯正歯科 矯正歯科 顎関節症 マウスピース型矯正装置

診療日
【月~金】
10:00~19:30
【土】
9:00~18:00
休診日
木・日・祝日
東京ドクターズ 徒歩動画

小児矯正

小児矯正

小児矯正(1期治療)の目的は将来歯を抜かずに2期治療をできる環境をつくっておくこと、そして1期治療で終了することが目標です。
それには適正な開始時期を見極めることが重要になってきます。
いたずらに早い時期に始めるのはとても危険です。
子供のストレスを一番に考え最適な治療時期を判断します。
無計画に単発的な装置を入れるのもまた危険です。行き当たりばったりの治療では治りません。
矯正治療は適正な時期に適正な検査をして、適正な診断を元に治療計画を立てることがとても大切です。

小児矯正とは

小児矯正のことを1期治療と言い予防的な矯正治療です。
乳歯の交換が終わる永久歯列期までの治療のことを指します。
その後全ての永久歯が生え揃った時期(約12歳~)からの治療を2期治療と言います。
小児矯正の対象は原則上下の乳歯が約8~12本残っている状態となります。

料金はこちら»

小児矯正の利点

骨の成長を利用することができる。
※1期治療による予防矯正のみで終了する可能性がある
※2期治療の際、抜歯して治療する確率を大幅に減らすことができる

検査について

矯正治療は正確な診断と適切な治療方針を立てることが最も重要です。特に成長期の骨格の成長傾向を把握することは治療計画の立案の際とても大切なことです。現在の歯並びが骨格の問題によるものなのか歯列によるものなのかなど、そこにはたくさんの情報が詰まっています。

写真はこちら»

各症例

小児矯正のみで終了(Ⅰ期治療)

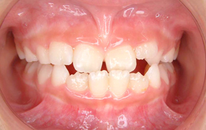
before

小児矯正のみで終了1

当院は小児矯正(1期治療)で終了することを目標においています。I期治療でできることは、全て治療します。

→

after

小児矯正のみで終了2

そのため上下共にガタガタがあれば短い間ですが、ワイヤーにてきれいに並べます。なるべくII期治療に持ち越しません。

after

小児矯正のみで終了4

この症例のように生え替わりが終了して、特に問題が無ければI期治療で終了です。

←

↓

小児矯正のみで終了3

並べた後は、生え替わりが終わるまで固定して、注意深く診ていきます。毎月ではありません。

主訴
叢生の改善
診断
アングル1級叢生
年齢
8歳
装置
マルチブラケット法
抜歯部位
非抜歯
治療期間
4年
治療費
約565,600円(検査からその後の保定以降まで含む)

リスク

1.歯根吸収:ありませんでした

2.虫歯:治療中はできませんでした

3.後戻り:保定装置の協力とフォローをしっかり行います

小児Ⅰ期治療からⅡ期治療のケース

小児のⅠ期治療は噛み合わせの改善と、歯列拡大により将来抜歯をしないで並べられる状態をつくるステージです。そのため後半の生え替わりが悪ければ、ご相談の上Ⅱ期治療に移行します。

1.2 初診時です。前歯のガタガタです。

小児Ⅰ期治療からⅡ期治療のケース 1小児Ⅰ期治療からⅡ期治療のケース 2

↓

3. 検査の結果、永久歯の生えて来るスペースが不足していたため、歯列を拡大しました。

小児Ⅰ期治療からⅡ期治療のケース 3

↓

4.5 拡大後 ワイヤーの装置により歯を並べます。もちろん下の歯もガタガタであればワイヤーにて治します。

小児Ⅰ期治療からⅡ期治療のケース 4小児Ⅰ期治療からⅡ期治療のケース 5

↓

6.7 並べ終わって固定するステージに入る状態です。固定しながら生え替わりを診ていきます。

小児Ⅰ期治療からⅡ期治療のケース 6小児Ⅰ期治療からⅡ期治療のケース 7

↓

8.9 生え替わりが終わりましたが、特に向かって右上の犬歯の位置が悪く、
本人の希望もありⅡ期治療することに決定しました。
犬歯は咀嚼機能に1番大切な歯、言わば司令塔です。
犬歯の歯並びが悪いのは噛む上でとてもマイナスです。

小児Ⅰ期治療からⅡ期治療のケース 8小児Ⅰ期治療からⅡ期治療のケース 9

再検査・再診断

↓

10.11 Ⅱ期治療終了時です。Ⅰ期治療をしていたので歯を抜くこともなく
きれいで正しい歯並びに改善することができました。

小児Ⅰ期治療からⅡ期治療のケース 10小児Ⅰ期治療からⅡ期治療のケース 11

主訴
叢生の改善
診断
アングル1級叢生
年齢
7歳
装置
可撤式急速拡大装置及びマルチブラケット法
抜歯部位
非抜歯
治療期間
1期治療4年・2期治療2年
治療費
1期治療 約565,600円(検査からその後の保定以降まで含む)
 
2期治療 約430,000円 (再検査代から保定まで)

リスク

1.歯根吸収:ありませんでした

2.2期治療での抜歯の可能性:非抜歯で改善できました

3.虫歯:定期的なブラッシング指導と予防処置で治療中はできませんでした

4.後戻り:保定装置の協力とフォローをしっかり行います

筋機能療法(MFT)

お口がポカーンと開いていませんか?田園調布ヴェルデ矯正歯科では口呼吸、舌癖(舌ったらず)などお顔の成長と歯並びに影響をおよぼすこれら悪習癖(悪い習慣)を改善するための、トレーニング(筋機能療法)を行っています。お顔の筋力アップのため必要に応じて唇の筋力を計ります。

歯列矯正用咬合誘導装置(ムーシールド)

成長期の反対咬合(受け口)を治す装置です。主に幼児期(3~6歳)に使用します。そのため、ご本人の性格や、睡眠時のストレスなどの問題を十分にご相談した上で使用します。小児矯正は子供にとって、どのタイミングでどのような治療をしていくのかを、矯正専門医とよく相談することをお薦めします。

歯列矯正用咬合誘導装置(ムーシールド) ¥30,000

子供の反対咬合(マウスピースの治療)

ムーシールド1
歯列矯正用咬合誘導装置(ムーシールド)は幼児期の早い段階で、反対咬合(受け口)を治す治療法です。装置はマウスピースみたいな透明の装置を、寝る時に装着します。月に1度のペースで装置を、調整していきます。

ムーシールド2
正面から観たところです。

ムーシールド3
全て乳歯です。反対咬合です。まだ幼児なので、お子様にかかる負担などをよく考えた上で、治療します。

ムーシールド4
反対咬合です。

ムーシールド2
2か月後です。反対咬合は治っています。現在は正常な噛み合せになりました。

ムーシールド6
これからまだ永久歯に生え替わるので、注意深く定期的に観察していきます。生え替わった後に、また反対咬合になりこともあります。

主訴
受け口
診断
乳歯列前歯の反対咬合
年齢
5歳
装置
歯列矯正用咬合誘導装置(ムーシールド)
抜歯部位
非抜歯
治療期間
4ヶ月
治療費
約33,000円

リスク

1.改善しない場合がある:その際の1期治療の対応などを説明

2.睡眠障害:ありませんでした

3.後戻り:ありませんでした(永久歯への交換も定期観察)

保隙(ホゲキ装置)

後天的な歯並びのガタガタの多くは、乳歯の早期脱落です。虫歯になってしまった乳歯や、ぶつけて乳歯が抜けた、先天的に乳歯が欠如している、歯ぎしりにより乳歯が抜ける(最近の報告)など、乳歯が生理的な生え替わり時期よりも早期に抜けることは、多々あります。早期に抜けてしまうと、次の(下にある)永久歯が生えてくるまでには、まだ時間があるため、その間に両隣の歯が抜けたスペースに動いてしまい、永久歯の萌出スペースが無くなってしまいます。それを防ぐのが、保隙装置です。早期に脱落した隙間を、次の永久歯が生えてくるまで、保つという装置です。言うなれば、子供の入れ歯です。早期に脱落した際、この装置を入れることで、歯列不正を予防します。
またバレエや学芸会、七五三などの写真撮影時などの際、歯が抜けていて気になる時などにも製作できます。

保隙装置-¥15,000

保隙装置1

保隙装置2

保隙装置1

保隙装着前

保隙装置2

保隙装着後

スポーツマウスガード

マウスガードは運動中の転倒やコンタクトなどによる歯折、歯の脱落(脱臼)、咬舌などのお口の中の外傷を防ぐだけでなく、脳しんとうのダメージを軽減することも報告されています。そのため近年スポーツマウスガードを義務化する学生競技団体が増えています。それに伴い当院でも個々の歯型に合ったマウスピースを制作し、競技中の事故防止を支援しています。色々な柄や色を用意してありますので、ご自由にお選びになっていただけます。精密に歯の型取りをして作ったマウスガードは、既製のカウスガードよりもフィット感が良いので、運動中のパフォーマンスに、悪影響を与える心配がありません。また当院では、矯正歯科装置の制作に普段から用いている、高性能圧縮機でマウスガードを製作いたします。そのためフィット感も良く、短時間、低コストでご提供させていただいております。

手順

  • 歯の型取りをします。
  • マウスガードの色をお選びいただきます。
  • 明日以降(最短で1時間)診察日のお約束
  • マウスガードの微調整を行います。(噛んだ時の状態や、装着感の調整)
  • 完成

金額

単色-¥6,500
複合色-¥9,500

単色

単色

複合色

複合色

スポーツマウスガード2

スポーツマウスガード3

矯正歯科治療に伴う一般的なリスクや副作用について

1.最初は矯正装置による不快感、痛み等があります。数日間~1、2 週間で慣れることが多いです。

2.歯の動き方には個人差があります。そのため、予想された治療期間が延長する可能性があります。

3.装置の使用状況、顎間ゴムの使用状況、定期的な通院等、矯正治療には患者さんの協力が非常に重要であり、それらが治療結果や治療期間に影響します。

4.治療中は、装置が付いているため歯が磨きにくくなります。むし歯や歯周病のリスクが高まりますので、丁寧に磨いたり、定期的なメンテナンスを受けたりすることが重要です。 また、歯が動くと隠れていたむし歯が見えるようになることもあります。

5.歯を動かすことにより歯根が吸収して短くなることがあります。また、歯ぐきがやせて下がることがあります。

6.ごくまれに歯が骨と癒着していて歯が動かないことがあります。

7.ごくまれに歯を動かすことで神経が障害を受けて壊死することがあります。

8.治療途中に金属等のアレルギー症状が出ることがあります。

9.治療中に「顎関節で音が鳴る、あごが痛い、口が開けにくい」などの顎関節症状が出ることがあります。

10.様々な問題により、当初予定した治療計画を変更する可能性があります。

11.歯の形を修正したり、咬み合わせの微調整を行ったりする可能性があります。

12.矯正装置を誤飲する可能性があります。

13.装置を外す時に、エナメル質に微小な亀裂が入る可能性や、かぶせ物(補綴物)の一部が破損する可能性があります。

14.装置が外れた後、保定装置を指示通り使用しないと後戻りが生じる可能性が高くなります。

15.装置が外れた後、現在の咬み合わせに合った状態のかぶせ物(補綴物)やむし歯の治療(修復物)などをやりなおす可能性があります。

16.あごの成長発育によりかみ合わせや歯並びが変化する可能性があります。

17.治療後に親知らずが生えて、凸凹が生じる可能性があります。加齢や歯周病等により歯を支えている骨がやせるとかみ合わせや歯並びが変化することがあります。 その場合、再治療等が必要になることがあります。

18.矯正歯科治療は、一度始めると元の状態に戻すことは難しくなります。

児矯正

●小児矯正

小児矯正(1期治療)の目的は将来歯を抜かずに2期治療をできる環境をつくっておくこと、そして1期治療で終了することが目標です。それには適正な開始時期を見極めることが重要になってきます。いたずらに早い時期に始めるのはとても危険です。
子供のストレスを一番に考え最適な治療時期を判断できるのは矯正専門医です。
無計画に単発的な装置を入れるのもまた危険です。行き当たりばったりの治療では治りません。
矯正治療は適正な時期に適正な検査をして、適正な診断を元に治療計画を立てることがとても大切です。

●小児矯正とは

小児矯正のことを1期治療と言い予防的な矯正治療です。
乳歯の交換が終わる永久歯列期までの治療のことを指します。
その後全ての永久歯が生え揃った時期(約12歳~)からの治療を2期治療と言います。
小児矯正の対象は原則上下の乳歯が約8~12本残っている状態となります。

料金はこちら

●小児矯正の利点

骨の成長を利用することができる。
※1期治療による予防矯正のみで終了する可能性がある
※2期治療の際、抜歯して治療する確率を大幅に減らすことができる

●検査について

矯正治療は正確な診断と適切な治療方針を立てることが最も重要です。特に成長期の骨格の成長傾向を把握することは治療計画の立案の際とても大切なことです。現在の歯並びが骨格の問題によるものなのか歯列によるものなのかなど、そこにはたくさんの情報が詰まっています。

写真はこちら

●装置の種類

装置の種類はこちら

●各症例

小児矯正のみで終了(Ⅰ期治療)

before

小児矯正のみで終了1

当院は小児矯正(1期治療)で終了することを目標においています。I期治療でできることは、全て治療します。


after

小児矯正のみで終了2

そのため上下共にガタガタがあれば短い間ですが、ワイヤーにてきれいに並べます。なるべくII期治療に持ち越しません。

↓

小児矯正のみで終了3

並べた後は、生え替わりが終わるまで固定して、注意深く診ていきます。毎月ではありません。

after

小児矯正のみで終了4

この症例のように生え替わりが終了して、特に問題が無ければI期治療で終了です。

主訴
叢生の改善
診断
アングル1級叢生
年齢
8歳
装置
マルチブラケット法
抜歯部位
非抜歯
治療期間
4年
治療費
約565,600円(検査からその後の保定以降まで含む)

リスク

1.歯根吸収:ありませんでした

2.虫歯:治療中はできませんでした

3.後戻り:保定装置の協力とフォローをしっかり行います

小児Ⅰ期治療からⅡ期治療のケース

小児のⅠ期治療は噛み合わせの改善と、歯列拡大により将来抜歯をしないで並べられる状態をつくるステージです。そのため後半の生え替わりが悪ければ、ご相談の上Ⅱ期治療に移行します。

1.2 初診時です。前歯のガタガタです。

小児Ⅰ期治療からⅡ期治療のケース 1

小児Ⅰ期治療からⅡ期治療のケース 2

↓

3. 検査の結果、永久歯の生えて来るスペースが不足していたため、歯列を拡大しました。

小児Ⅰ期治療からⅡ期治療のケース 3

↓

4.5 拡大後 ワイヤーの装置により歯を並べます。もちろん下の歯もガタガタであればワイヤーにて治します。

小児Ⅰ期治療からⅡ期治療のケース 4

小児Ⅰ期治療からⅡ期治療のケース 5

↓

6.7 並べ終わって固定するステージに入る状態です。固定しながら生え替わりを診ていきます。

小児Ⅰ期治療からⅡ期治療のケース 6

小児Ⅰ期治療からⅡ期治療のケース 7

↓

8.9 生え替わりが終わりましたが、特に向かって右上の犬歯の位置が悪く、本人の希望もありⅡ期治療することに決定しました。犬歯は咀嚼機能に1番大切な歯、言わば司令塔です。犬歯の歯並びが悪いのは噛む上でとてもマイナスです。

小児Ⅰ期治療からⅡ期治療のケース 8

小児Ⅰ期治療からⅡ期治療のケース 9

再検査・再診断

↓

10.11 Ⅱ期治療終了時です。Ⅰ期治療をしていたので歯を抜くこともなく
きれいで正しい歯並びに改善することができました。

小児Ⅰ期治療からⅡ期治療のケース 10

小児Ⅰ期治療からⅡ期治療のケース 11


その他症例はこちら

主訴
叢生の改善
診断
アングル1級叢生
年齢
7歳
装置
可撤式急速拡大装置及びマルチブラケット法
抜歯部位
非抜歯
治療期間
1期治療4年・2期治療2年
治療費
1期治療 約565,600円(検査からその後の保定以降まで含む)
 
2期治療 約430,000円 (再検査代から保定まで)

リスク

1.歯根吸収:ありませんでした

2.2期治療での抜歯の可能性:非抜歯で改善できました

3.虫歯:定期的なブラッシング指導と予防処置で治療中はできませんでした

4.後戻り:保定装置の協力とフォローをしっかり行います

●筋機能療法(MFT)

お口がポカーンと開いていませんか?田園調布ヴェルデ矯正歯科では口呼吸、舌癖(舌ったらず)などお顔の成長と歯並びに影響をおよぼすこれら悪習癖(悪い習慣)を改善するための、トレーニング(筋機能療法)を行っています。お顔の筋力アップのため必要に応じて唇の筋力を計ります。

●歯列矯正用咬合誘導装置(ムーシールド)

成長期の反対咬合(受け口)を治す装置です。主に幼児期(3~6歳)に使用します。そのため、ご本人の性格や、睡眠時のストレスなどの問題を十分にご相談した上で使用します。小児矯正は子供にとって、どのタイミングでどのような治療をしていくのかを、医師によく相談することをお薦めします。

歯列矯正用咬合誘導装置(ムーシールド) ¥33,000

子供の反対咬合(マウスピースの治療)

ムーシールド1

歯列矯正用咬合誘導装置(ムーシールド)は幼児期の早い段階で、反対咬合(受け口)を治す治療法です。装置はマウスピースみたいな透明の装置を、寝る時に装着します。月に1度のペースで装置を、調整していきます。

ムーシールド2

正面から観たところです。

ムーシールド3

全て乳歯です。反対咬合です。まだ幼児なので、お子様にかかる負担などをよく考えた上で、治療します。

ムーシールド4

反対咬合です。

ムーシールド2

2か月後です。反対咬合は治っています。現在は正常な噛み合せになりました。

ムーシールド6

これからまだ永久歯に生え替わるので、注意深く定期的に観察していきます。生え替わった後に、また反対咬合になりこともあります。

主訴
受け口
診断
乳歯列前歯の反対咬合
年齢
5歳
装置
歯列矯正用咬合誘導装置(ムーシールド)
抜歯部位
非抜歯
治療期間
4ヶ月
治療費
約33,000円

リスク

1.改善しない場合がある:その際の1期治療の対応などを説明

2.睡眠障害:ありませんでした

3.後戻り:ありませんでした(永久歯への交換も定期観察)

●保隙(ホゲキ装置)

後天的な歯並びのガタガタの多くは、乳歯の早期脱落です。虫歯になってしまった乳歯や、ぶつけて乳歯が抜けた、先天的に乳歯が欠如している、歯ぎしりにより乳歯が抜ける(最近の報告)など、乳歯が生理的な生え替わり時期よりも早期に抜けることは、多々あります。
早期に抜けてしまうと、次の(下にある)永久歯が生えてくるまでには、まだ時間があるため、その間に両隣の歯が抜けたスペースに動いてしまい、永久歯の萌出スペースが無くなってしまいます。それを防ぐのが、保隙装置です。早期に脱落した隙間を、次の永久歯が生えてくるまで、保つという装置です。言うなれば、子供の入れ歯です。早期に脱落した際、この装置を入れることで、歯列不正を予防します。
またバレエや学芸会、七五三などの写真撮影時などの際、歯が抜けていて気になる時などにも製作できます。

保隙装置 ¥15,000

保隙装置1

保隙装置1

保隙装着前

保隙装置2

保隙装置2

保隙装着後

●スポーツマウスガード

マウスガードは運動中の転倒やコンタクトなどによる歯折、歯の脱落(脱臼)、咬舌などのお口の中の外傷を防ぐだけでなく、脳しんとうのダメージを軽減することも報告されています。そのため近年スポーツマウスガードを義務化する学生競技団体が増えています。
それに伴い当院でも個々の歯型に合ったマウスピースを制作し、競技中の事故防止を支援しています。色々な柄や色を用意してありますので、ご自由にお選びになっていただけます。精密に歯の型取りをして作ったマウスガードは、既製のカウスガードよりもフィット感が良いので、運動中のパフォーマンスに、悪影響を与える心配がありません。
また当院では、矯正歯科装置の制作に普段から用いている、高性能圧縮機でマウスガードを製作いたします。そのためフィット感も良く、短時間、低コストでご提供させていただいております。

手順

  • 歯の型取りをします。
  • マウスガードの色をお選びいただきます。
  • 明日以降(最短で1時間)診察日のお約束
  • マウスガードの微調整を行います。(噛んだ時の状態や、装着感の調整)
  • 完成

金額

単色 ¥6,500
複合色 ¥9,500

単色

単色

複合色

複合色

スポーツマウスガード

スポーツマウスガード2

スポーツマウスガード3

●矯正歯科治療に伴う一般的なリスクや副作用について

1.最初は矯正装置による不快感、痛み等があります。数日間~1、2 週間で慣れることが多いです。

2.歯の動き方には個人差があります。そのため、予想された治療期間が延長する可能性があります。

3.装置の使用状況、顎間ゴムの使用状況、定期的な通院等、矯正治療には患者さんの協力が非常に重要であり、それらが治療結果や治療期間に影響します。

4.治療中は、装置が付いているため歯が磨きにくくなります。むし歯や歯周病のリスクが高まりますので、丁寧に磨いたり、定期的なメンテナンスを受けたりすることが重要です。 また、歯が動くと隠れていたむし歯が見えるようになることもあります。

5.歯を動かすことにより歯根が吸収して短くなることがあります。また、歯ぐきがやせて下がることがあります。

6.ごくまれに歯が骨と癒着していて歯が動かないことがあります。

7.ごくまれに歯を動かすことで神経が障害を受けて壊死することがあります。

8.治療途中に金属等のアレルギー症状が出ることがあります。

9.治療中に「顎関節で音が鳴る、あごが痛い、口が開けにくい」などの顎関節症状が出ることがあります。

10.様々な問題により、当初予定した治療計画を変更する可能性があります。

11.歯の形を修正したり、咬み合わせの微調整を行ったりする可能性があります。

12.矯正装置を誤飲する可能性があります。

13.装置を外す時に、エナメル質に微小な亀裂が入る可能性や、かぶせ物(補綴物)の一部が破損する可能性があります。

14.装置が外れた後、保定装置を指示通り使用しないと後戻りが生じる可能性が高くなります。

15.装置が外れた後、現在の咬み合わせに合った状態のかぶせ物(補綴物)やむし歯の治療(修復物)などをやりなおす可能性があります。

16.あごの成長発育によりかみ合わせや歯並びが変化する可能性があります。

17.治療後に親知らずが生えて、凸凹が生じる可能性があります。加齢や歯周病等により歯を支えている骨がやせるとかみ合わせや歯並びが変化することがあります。 その場合、再治療等が必要になることがあります。

18.矯正歯科治療は、一度始めると元の状態に戻すことは難しくなります。

CLINIC info

ヴェルデ矯正歯科

〒145-0071 東京都大田区田園調布2-62-5
東急スクエアガーデンサイト南館3F

03-3721-8511

お問い合わせ

診療時間
10:00~20:00

【休診日】木・日・祝日
・・・9:00~18:00

Copyright© 2010 verde-ortho.com All rights reserved.

掲載の記事・写真・イラストなどの無断複写・転載等を禁じます。