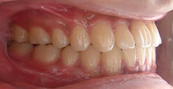
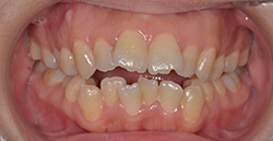
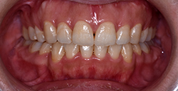
受け口、上顎前突(出っ歯)、お顔の曲がりは気になりませんか?
                            外科矯正治療とは、反対咬合や顎の引けた出っ歯やアゴの変形そして曲がり、ズレなどを、骨格から治す矯正治療のことです。通常の矯正治療との大きな違いは、骨格を外科手術により改善し、それに合わせて歯並び、噛み合せを矯正治療で改善することです。さらに、いずれの処置も保険が適応されるという点です。
当院は、この指定自立支援医療機関、顎口腔機能診断施設の指定を受けている医療機関です。そのため顎変形症の外科矯正治療であれば、手術前後の矯正治療費、手術費、入院費を含めて、総額約50~60万円です。
                            治療は外科医との連携で行われるため、矯正歯科を専門に行う歯科医師が手術のシミュレーションまで考え、治療プランを立案しなければなりません。そのため当然、症例経験数や外科医とのネットワークが豊富な矯正歯科を専門に行う歯科医師のほうが、安心です。
当院では、大学病院口腔外科へ依頼するのではなく、コネクションのある経験豊富な外科医を直接ご紹介いたします。
                        

































